Хоёрдугаар эмнэлгийн Ангиографийн тасаг уушги, бөөр, ясны хорт хавдрын үед хийгддэг ХӨЛДӨӨХ ЭМЧИЛГЭЭГ нэвтрүүлжээ
2025 оны 9 сарын 30

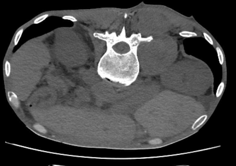
2025 он буюу энэ онд Улсын Хоёрдугаар төв эмнэлгийн Ангиографийн тасаг хөх, уушги, бөөр, ясны хорт хавдрын үед хийгддэг хөлдөөх эмчилгээ буюу CRYOABLATION эмчилгээг нэвтрүүлэн эхлүүлжээ.
Энэ талаар УХТЭ-ийн Дүрс оношилгооны төвийн дарга Б.Эрдэнэбулган "Хорт хавдар ясанд үсэрхийлсэн үед өвдөлт маш их байдаг бөгөөд ялангуяа эмийн эмчилгээнд намдахгүй байгаа өвдөлтийн үед хийхэд өвдөлтийг бүрэн намдааж хавдрын ургалтыг зогсоосон сайн туршлага хуримтлуулж байна.
Мөн энэ эмчилгээ уушги болон бөөрний хорт хавдрын үед голомтыг хөлдөөхөд үр дүн сайтай байдаг. Үүнийг нотолсон маш олон судалгааны ажлууд байгаа. Цаашид энэ төрлийн эмгэгтэй хүмүүст тус хүргэх бүрэн боломжтой боллоо" гэв.


Мэдээнд өгөх таны үнэлгээ?
665669
0 эможи
ARSLAN.mn сайтад сэтгэгдэл оруулахад анхаарах зүйлс
