Монголд АНХ УДАА дээд мөчний ясны том хэмжээтэй хавдрын “ХИЙМЭЛ ҮЕ СУУЛГАХ“ мэс заслыг амжилттай хийлээ
2023 оны 4 сарын 25

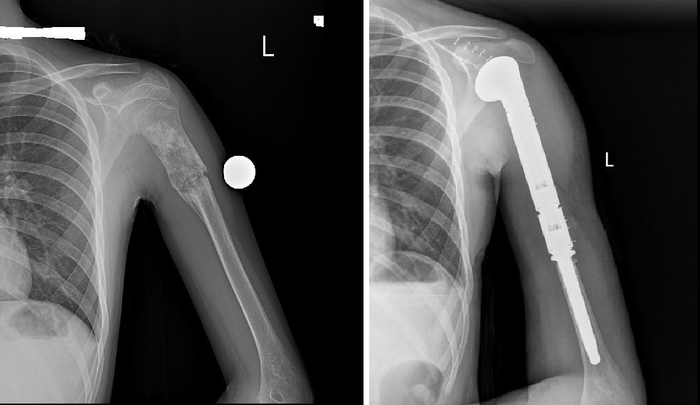
Улсын Нэгдүгээр Төв Эмнэлэг/УНТЭ/-ийн Үений мэс заслын баг болох ХҮСҮСТ-ийн дарга М.Отгонбаяраар ахлуулсан баг Монгол Улсад анх удаа атгаал ясны дээд 2/3-г хамарсан том хэмжээний ясны хортой (osteosarcoma) хавдрын тохиолдолд хавдрыг бүхэлд нь аван мега-протез суулгах мэс заслыг амжилттай хийж гүйцэтгэлээ.
Ясны хавдрын үед том хэмжээний имплант суулгах мэс заслыг анх 2015 оноос эхлэн доод мөчдөд хийж эхэлсэн ба энэ удаагийнх нь дээд мөчид хийсэн анхны тохиолдол юм.
Тус мэс заслыг хийснээр дараах давуу талуудтай. Үүнд:
- Мөчийг тайрахгүй хадгалж үлдэх
- Хөл, гар, мөчдийн үйл ажиллагаа эргэн сайжрах
- Эх орондоо эмчлэгдэх боломжтой болж, гадагш явах санхүүгийн дарамтаас чөлөөлөгдөх
Тус эмчилгээний тохиолдлын мега-протез нь тухайн хүн өсөж томроход сунгагдах боломжтой тул дахин солих шаардлагагүй юм.
Мэс заслын багт үений мэс заслын эмч Н.Энхтайван, Ө.Баярцэнгэл, МХНТ-ийн мэдээгүйжүүлгийн эмч Х.Баялагмаа, сувилагч Б.Түмэнжаргал, Ч.Лхагвасүрэн, Э.Долгорням нар оролцжээ.



Мэдээнд өгөх таны үнэлгээ?
646434
0 эможи
ARSLAN.mn сайтад сэтгэгдэл оруулахад анхаарах зүйлс






























