АНХ УДАА: УГТЭ “Урт хугацааны зүрхний цахилгаан бичлэгийн хяналтын суулгац“ оношилгооны ДЭВШИЛТЭТ ТЕХНОЛОГИЙГ нэвтрүүллээ

Улсын гуравдугаар төв эмнэлэг /УГТЭ/ 2021 оны 04 сарын 28-ны өдрөөс эхлэн “Урт хугацааны зүрхний цахилгаан бичлэгийн хяналтын суулгац" бүхий оношилгооны дэвшилтэт технологийг Монгол улсад анх удаа албан ёсоор нэвтрүүлэн ажиллаж эхэллээ.
Энэхүү оношилгооны анхны суулгацуудыг далд хэлбэрийн зүрхний хэм алдагдлын шалтгааныг ялган оношлуулах зорилгоор тус эмнэлгээр үйлчлүүлсэн зүрх хаяа дэлсэх зовиуртай боловч яг зүрх дэлсэх үедээ зүрхний бичлэг хийлгэж чаддаггүй, онош нь бүрэн батлагдаагүй эмчлүүлэгч, мөн шалтгаан тодорхойгүй ухаан алдах зовиураар тус эмнэлэгт хандсан хоёр эмчлүүлэгчид амжилттай суулгаад байна.

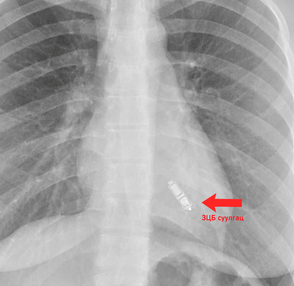
Урт хугацааны зүрхний цахилгаан бичлэгийн хяналтын суулгац гэдэг нь хүний зүрхэнд үүсэж буй аюултай хэм алдагдлуудыг 2-3 жилийн хугацаанд бүртгэн авах боломжтой, жижиг хэмжээний суулгац бөгөөд уг суулгацыг биеийн цээжний өмнөд хэсэгт хэсэг газрын мэдээ алдуулалт дор жижиг (~0.5см) зүслэг хийн, арьсанд тарих маягаар суулгадаг.
Мэс ажилбарын үеийн хүндрэл <1% хүрдэггүй нь эрсдэл багатай оношилгооны аргад тооцогддог.
Мөн эмчлүүлэгчид үүсэж буй далд хэлбэрийн, цөөн давтамжтай, амь насанд аюултай хэм алдагдлыг оношилгооны бусад аргуудаас илүү мэдрэгээр оношилох боломжийг олгодог давуу талтай дэвшилтэт технологи юм.

Улсын гуравдугаар төв эмнэлэг оношилгооны энэхүү технологийг энэ оны нэгдүгээр сард шинээр нээгдсэн Зүрхний хэм судлалын төвийн эмнэлзүйн тусламж үйлчилгээнд ашиглах юм.
Тухайлбал далд хэлбэрийн тосгуурын жирвэгнээг (ялангуяа тосгуурын жирвэгнээ бүхий хэм алдагдлын аблаци эмчилгээний дараа, шалтгаан тодорхойгүй тархины харвалтын дараа гэх мэт) илрүүлэхэд, шалтгаан тодорхойгүй ухаан алдалт, шалтгаан тодорхойгүй цөөн давтамжтай зүрх дэлсэх зовиурын үед хэм алдагдлын шалтгааныг илрүүлэх гэх мэт зорилгоор өргөнөөр ашиглах боломжтой аж.































